wpa0ed2e8a.png
wp0d8820c2.png
wp70a139b8.png
wp3757435b.png
wp266c2c24.png
wpd205afb4.png
wp58b141b6.png
wp33cb1d7b.png
wpdabd2520.png
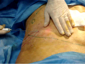
1ère phase: Après un bilan tant clinique que sanguin obligatoire avant tout acte, un devis vous sera proposé. Passé un délai de réflexion, l'acte médical sera proposé et réalisé avec l'aide d'une assistante infirmière.
Un produit anesthésiant, souvent HYPOOSMOLAIRE, vous sera injecté de façon particulièrement homogène dans les zones graisseuses choisies (environ 250 à 500 cc en intra-graisseux à l'aide d'une canule fine, ce mélange anesthésiant non allergisant assure l'hydrotomie et l'absence quasi complète de douleur.
2ème phase si LASER: On passe à travers de petits orifices (1 à 2mm) une microcanule stérile "guide" dans laquelle une fibre optique stérile passera afin de délivrer une lumière rouge laser de 8 à 14 watts et de 980 nm. qui "pulvérise" les adipocytes. Aucune aspiration cellulaire n'est réalisée, le lysat s'éliminant de lui même dans la circulation durant les jours suivants sans inconvénients particuliers.

   2ème phase si ULTRASONS: On passe à travers de petits orifices (1 à 2 mm) une microcanule stérile reliée à un générateur d’ULTRASONS. Ces ultrasons font « caviter » les cellules graisseuses déjà fragilisées par l’hypoosmolarité entraînant ainsi leur éclatement. Aucune aspiration cellulaire n'est réalisée, le lysat s'éliminant de lui même dans la circulation durant les jours suivants sans inconvénients particuliers.

   3ème phase: Afin d'amplifier l'importance et la rapidité de l’évacuation des graisses par le système lymphatique vers le système hépatique puis rénal, on conseille un régime hyperprotéiné (dit "brûleur de graisse") pendant 3 à 5 jours.
4ème phase: On termine souvent par la prescription de quelques séances de massage drainant (LPG ou endermologie) afin de favoriser l’évacuation des déchets cellulaires et des graisses par le système lymphatique. La phase 4 est idéalement réalisée par un kinésithérapeute diplômé.
wp47c1d8a6.png
wpabe9ae5f.png
wp9dd583cc.png
wp0d9a7a42.png
wpca38bb04_1b.jpg